Solutions
The Vision AI Platform for Medical Imaging Teams
Enhance diagnostics and streamline workflows with AI-driven medical image analysis. Support clinical decision-making, automate annotation tasks.

Solutions
Annotate to Deploy Models at Scale
Construct computer vision models for the analysis of diverse medical imagery, including CT scans, MRIs, dental images, mammograms, ultrasounds, and X-rays.
AlgoFly for Healthcare
Algofly's expertise in the medical & healthcare sector.
Cell Research
Blend machine learning and biology to predict cell fates, analyze processes on single-cell resolution, and predict cell cycle phases.

Digital Pathology
Integrating whole slide imaging (WSI) into the pathology workflow has allowed artificial intelligence to advance the detection, classification, and prognostication of diseases.

Drug Development
Automate drug discoveries using computer vision, helping scientists design new drugs that are specifically targeted to that function.

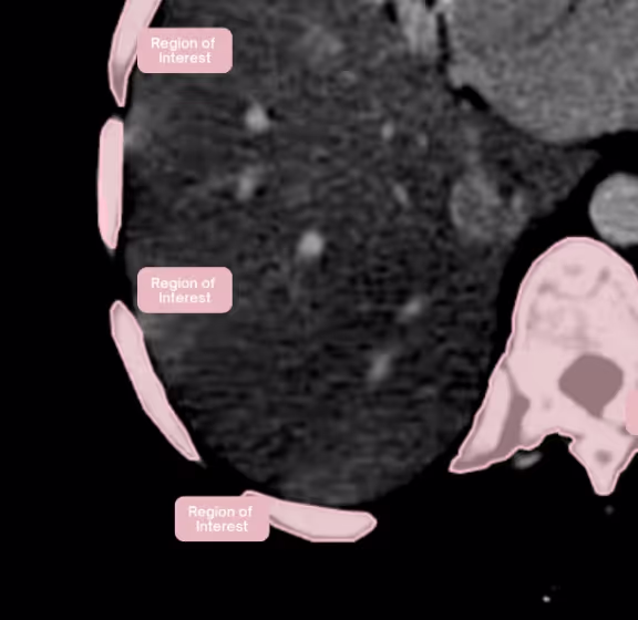
Medical Imaging
CT and MRI scan analysis creates a visualization of particular organs and tissues to assist medical professionals in making better decisions regarding the treatment of patients.

Drug Defect Detection
Leverage deep learning for visual inspection, quality control, and process automation & identify defects on the production.

Bone Structural Diagnosis
X-Ray image analysis to identify normal and abnormal structures, diagnosis of diseases and prediction of treatment outcomes through AI.

AlgoFly
© 2025
Policies
Resources & Support
Subscribe to our newsletter
Carefully curated emails to keep you in the loop.